新型冠状病毒感染先兆 新冠病毒可侵入人体多个器官
2020-05-05 23:37:53

事情是这样的。

在杜兰大学医学院,肺病和重症监护医生Joshua Denson发现,一天之内,在约20位重症监护病人中,有2名患者出现癫痫症状,其余不少患者出现呼吸衰竭的症状,还有小部分患者的肾脏功能急剧衰减。

Denson还回忆起,几天前,医疗团队试图努力挽救一名心跳停止的女子,但最终以失败告终。他说道,这些病人有着共同的特征:“他们都是新冠病毒阳性确诊患者。”

截止到目前,全球确诊COVID-19的病例已超过220万,死亡人数超过15万,从新冠病毒爆发开始,临床医生和病理学家们就一直在努力了解冠状病毒入侵人体后带来的损害,他们发现,尽管肺部是病毒的中心引爆点,但其覆盖范围可以扩展到其他器官,包括心脏、血管、肾脏、肠、大脑等。

针对新冠病毒疫情预测的论文层出不穷,研究者似乎总是倾向于得出一些更为宏观的结论,但是在细胞水平上,我们真的了解病毒如何攻击人体细胞吗?尤其是在大约5%的重症患者体内?

在基于计算机断层扫描的3D模型中可以看到,一位因冠状病毒死于乔治华盛顿大学的59岁男子,他的肺部受到了严重损伤(黄色部分)。图源:华盛顿医院和外科手术室

耶鲁大学和耶鲁-纽黑文医院的心脏病专家Harlan Krumholz主持着多项收集COVID-19临床数据的项目,他说:“新冠病毒几乎可以攻击人体所有器官并造成毁灭性后果,它的凶猛程度简直令人不寒而栗。”

深入了解这种病毒,可以帮助前线医生更好地进行治疗。宾夕法尼亚大学医院(HUP)的肺病专科医生Nilam Mangalmurti说:“在我们开始考虑治疗时,采用系统的方法可能会有所帮助。”

最近,他们观察到一种危险的血液凝结趋势,这趋势是否会使一些轻度病例转变为危及生命的重症病例?在最坏的情况下,是否激发过强的免疫反应,如果使用免疫抑制药物进行治疗能否会有效?为什么有些医生口中那些喘不过气的患者的血氧含量低得惊人?

现在每周大约有1000多篇论文涌入期刊和预印本服务系统,但即使如此,新冠病毒对全人类而言仍然是一种新型的病原体,针对其的治疗局面仍然看不到头。

感染是如何开始的?

当确诊患者排出带有病毒的飞沫,同时这些飞沫被其他人吸入时,新型冠状病毒就通过鼻腔和咽喉进入到了人体内部。

惠康桑格研究所(Wellcome Sanger Institute)和其他地方的科学家一致认为,病毒会在鼻腔内部给自己找一个舒服的家,科学家们发现鼻腔内部的细胞富含一种叫做血管紧张素转换酶2(ACE2)的细胞表面受体,而病毒恰需要通过这种受体才能进入细胞。

所以在人体中,有助于调节血压的ACE2就代表容易被感染的组织,一旦病毒进入细胞内部,就会劫持细胞的生理结构,随后进行无限自我复制并入侵新细胞。

随着病毒的繁殖,受感染的人可能会散播大量病毒,尤其是在头一周。此时,感染者要么没有明显的患病症状,要么开始发烧,咳嗽,嗓子疼,同时伴随着嗅觉和味觉的丧失,或者头部和身体的疼痛。

如果在初始阶段,免疫系统无法抵抗新冠病毒,病毒就会顺势沿着气管进入身体攻击肺部,从而引发致命效果。肺部小气囊中呼吸树末端的较细较远分支被称为肺泡,每个气囊都由一层同样富含ACE2受体的细胞排列。

通常,氧气穿过肺泡进入毛细血管,这些毛细血管就在气囊的旁边,然后氧气被血管带到身体的其他部位,但是此时免疫系统忙于与入侵者交战,战斗破坏了氧气的传输。处于战斗一线的白细胞会释放出一种叫做趋化因子的炎症分子,这种趋化因子会召唤出更多的免疫细胞靶向杀死被病毒感染的细胞,从而留下大量的液体和死细胞,也就是我们常说的“脓”。

这就是肺炎的潜在病理,伴有相应的症状:咳嗽、发热和急促的浅呼吸。部分COVID-19患者得以康复,是因为他们通过鼻腔插管吸氧,从而获得了更多的氧气,这也就是呼吸机如此重要的原因。

但是另外一部分病情恶化的患者,通常也是突然发作,并快速发展为急性呼吸窘迫综合征(ARDS),他们血液中的含氧量急剧下降,呼吸也越来越困难。在X射线和计算机断层扫描中,会发现肺部充满了白色的浑浊物,然而那些地方本应是代表空气的黑色。这些患者最终往往会用到呼吸机,然而仍然有很多人死去。尸检表明,他们的肺泡里塞满了液体、白细胞、粘液,还有被损毁的肺细胞碎片。

病毒入侵的影响

严重情况下,新冠病毒会进入肺部,并对肺部造成严重伤害,而人体对病毒的反应,也会伤害许多其他器官。

科学家们才刚刚开始探索这种危害的范围和性质。

横截面图显示,受到病毒攻击时发生细胞膜破裂的免疫细胞在发炎的肺泡或气囊中拥挤,从而减少了对氧气的吸收,导致患者咳嗽、发烧加重、呼吸困难。

肝――多达一半的住院患者,他们的酶浓度表明肝脏正在挣扎中,过激的免疫系统和与病毒作斗争的药物都可能会对肝脏造成损害。

肾脏――重症病例中,肾脏损害很常见,致死性也很高。病毒可能直接攻击肾脏,也可能是和血压下降一样造成的全身副作用。

肠――患者报告和活检数据表明,该病毒会感染富含ACE2受体的下消化道。因此大约有20%或者更多的患者会发生腹泻。

大脑――一些COVID-19患者同时患有中风、癫痫、精神错乱和脑部炎症。医生正试图了解其中哪些是由病毒直接引起的。

眼睛――结膜炎是眼病和眼睑内侧膜的炎症,在最严重的患者中更为常见。

鼻子――一些患者失去了嗅觉。科学家推测这种病毒可能会移动到鼻子的神经末梢并破坏细胞。

心脏和血管组织――病毒(蓝绿色)通过与细胞表面的血管紧张素转化酶2(ACE2)受体结合,从而进入细胞,这可能包括血管内壁细胞。感染还会引发血液凝块,心脏病发作,以及心脏炎症。

一些临床医生怀疑,许多重症患者的身体状况日益趋下的主要原因,是对免疫系统的灾难性过度反应,这种过度反应被称为“细胞因子风暴”,其他病毒感染也会触发这种反应。细胞因子是指导健康免疫反应的化学信号分子,但是在细胞因子风暴中,某些细胞因子的浓度剧增,远远超出了人体的需要,免疫细胞就开始攻击健康的人体组织。这可能导致发生血管渗漏,血压下降,血液凝块形成,不可逆转的器官衰竭也会随之而来。

一些研究表明,住院的COVID-19患者的血液中,炎症诱发的细胞因子浓度明显升高。天普大学医院(Temple University Hospital)照顾COVID-19患者的肺病学家Jamie Garfield说:“该疾病真正的发病率和死亡率,可能是由新冠病毒导致的不同炎症反应所决定。”

但是也有人并不认同这一说法。斯坦福大学医学院的肺病重症监护医生Joseph Levitt表示:“似乎已经有人迅速采取行动将COVID-19与这些过度炎症反应联系起来,但我还没有看到真正令人信服的数据。”

不但如此,他还担心抑制细胞因子反应的努力会适得其反。几种靶向特定细胞因子的药物已经进入COVID-19患者的临床试验,但是Levitt担心这些药物可能会抑制人体抵抗病毒所需的免疫反应。他说,“允许更多的病毒进行复制,这确实存在风险”。

同时,还有一些其他科学家正在研究一种完全不同的器官系统,他们说这种器官系统正在使某些患者的心脏和血管迅速恶化。

心脏受到攻击是相当普遍的情况

在位于意大利北部的布雷西亚,一名有着心脏病所有典型症状的53岁妇女来到当地医院的急诊室,心电图上的警示信号和高浓度的血液标记都表明她的心肌严重受损。进一步诊断发现,她的心脏发生了肿胀并留下疤痕,左心室(通常是心脏的动力室)也十分脆弱,只能泵出正常供血量的三分之一。但是,当医生在冠状动脉中注入染色剂、寻找标志着心脏病发作的阻塞时,他们没有发现任何东西。而另一项检测揭示了原因:该妇女患有COVID-19。

虽然病毒究竟如何攻击心脏和血管还是一个谜,但是许多预印刊物和论文已经证明了这种破坏是相当普遍的。3月25日发表在《 JAMA心脏病学》(JAMA Cardiology)上的一篇论文记录了中国武汉市416例因COVID-19住院的患者中,有近20%的患者心脏受损。在武汉的另一项研究中,入住ICU的36名患者中有44%患有心律不齐。

这种破坏似乎会扩展到血液本身。根据4月10日《血栓形成研究》(Thrombosis Research)的一篇论文,在荷兰ICU的184名COVID-19患者中,有38%的患者血液中出现异常凝块,有三分之一的患者已经发生了血液凝结。

血块可能会破裂并进入肺部,阻塞重要动脉――这是一种被称为肺栓塞的疾病,据报道,这种疾病已经杀死了多位COVID-19患者。动脉血块也可能进入大脑,引起中风。哥伦比亚大学医学中心心血管医学研究员Behnood Bikdeli说,许多患者的血栓副产物D-二聚体严重升高。

Bikdeli表示:“在我们的观察中,发现了很多血液凝块有可能成为COVID-19疾病严重程度和死亡率的主要因素的证据。”

感染也可能导致血管收缩。有些报道说患者会出现手指和脚趾的局部缺血――血流减少会导致手指肿胀、疼痛,甚至组织坏死。

在肺部,血管收缩可能有助于解释由COVID-19引起的在肺炎中出现的诡异现象的报道:一些患者的血氧水平极低,但是不大喘气。在疾病的某些阶段,这种病毒可能会改变荷尔蒙平衡,从而调节血压并限制进入肺部的血管。因此,收缩的血管不是阻塞的肺泡阻止了氧气的吸收。莱维特说:“有一种理论认为,这种病毒会影响血管生物学形态,这就是为什么我们看到如此低的氧气含量的原因。”

如果COVID-19会攻击血管壁,那也可能解释了为什么先前患有糖尿病,高血压等慢性疾病导致血管损伤的患者面临更高的发展为重症的风险。美国疾病预防控制中心(CDC)最近分析美国14个州的住院患者提供的数据发现,约有三分之一的人患有慢性肺病-许多人患有糖尿病,有一半的人有高血压。

Mangalmurti表示,她对重症患者中没有大量哮喘病或患有其他呼吸系统疾病HUP的ICU中的患者感到震惊,“危险因素似乎是血管相关的疾病:糖尿病,肥胖,年龄,高血压”。

科学家们正在努力地研究到底是什么原因造成了心血管损害。心脏和血管壁,就像鼻子和肺泡一样,富含ACE2受体。病毒或许直接攻击, 或由于肺部混乱导致缺氧会损害血管,或者细胞因子风暴可能会像其他器官一样破坏心脏。

“我们仍处于起步阶段, 我们搞不清哪些人易感,为什么有些人更容易变为重症,为什么恶化的那么快……以及为什么一些人更难康复。”

多个战场

全球范围内因呼吸衰竭导致呼吸机短缺的担忧引起了广泛关注,但目前还没有要争先恐后地购买另一种设备:透析机。纽约大学Langone医学中心的神经科医生Jennifer Frontera说:“如果这些人没有死于肺衰竭,必定会死于肾衰竭。”

该中心已经治疗了数千名COVID-19患者,医院正在开发使用不同机器的透析方案,以支持更多患者,透析的必要性可能是因为拥有ACE2受体的肾脏是另一个病毒靶标。

根据一份预印本文献,武汉市85例住院患者中有27%患有肾功能衰竭。另一份报道显示,中国湖北和四川两省近200名住院的COVID-19患者中,有59%的尿液中有蛋白质,44%的人有血液,这些都表示肾脏受损。相同的结论在中国预印本报道上也有显示,患有急性肾损伤(AKI)的患者死亡的可能性是没有COVID-19的患者的五倍以上。

中国科学院苏州生物医学工程技术研究所的神经科学家贾洪波表示,肺是病毒的主战场,但一部分病毒可能会攻击肾脏。就像在真正的战场上一样,如果同时攻击两个地方,每个地方都会变得更糟。

一项研究从尸检的肾脏的电子显微镜照片中发现了病毒颗粒,这表明存在直接的病毒攻击,但也不能排除肾脏损伤带来的附带效果。目前有证据表明,呼吸机会和包括抗病毒化合物包括瑞德西韦都会增加肾脏损害的风险。细胞因子风暴还会减少流向肾脏的血液,从而造成致命的伤害。

诸如糖尿病之类的历史疾病也可能增加肾脏受伤的几率,西北肾脏中心首席医学官Suzanne Watnick表示:“已患有某些慢性肾脏病的人感染病毒后罹患急性肾损伤的风险更高。”

损伤大脑

COVID-19患者的另一个需要关注的症状集中在大脑和中枢神经系统。Frontera说,需要神经科医生来评估她医院中5%至10%的冠状病毒患者。但她说,这“可能是对大脑挣扎的人数的低估”,尤其是因为许多人使用镇静剂并使用呼吸机。

Frontera曾见过患有脑炎性脑炎,癫痫发作和“交感神经风暴”的患者,这是一种在脑外伤后最常见的由交感神经系统反应过度引起的癫痫样症状。一些患有COVID-19的人会暂时失去意识,有的人会中风,许多人会失去嗅觉。Frontera团队想知道,在特定的情况下,感染是否会抑制感觉缺氧的脑干反射。这是对轶事性观察的另一种解释,即尽管血液中的氧气含量很低,但有些患者并没有喘着气。

Johns Hopkins Medicine的重症监护医生Robert Stevens表示,ACE2受体存在于神经皮质和脑干中,但尚不清楚该病毒在什么情况下会穿透大脑并与这些受体相互作用。也就是说,2003年严重急性呼吸系统综合症(SARS)流行背后的冠状病毒可能会渗入神经元,有时还会引起脑炎,而新冠病毒正是SARS的近亲。

4月3日,日本研究小组在《国际传染病杂志》上发表了一项案例研究,报告了一名患有脑膜炎和脑炎的COVID-19患者的脑脊液中发现了新的冠状病毒,表明它也可以穿透脑膜炎和脑炎,以及中枢神经系统。

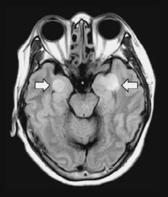
一名患有COVID-19的58岁女性患了脑炎,导致大脑组织受损(箭头)

但是其他因素也可能会损害大脑。例如,细胞因子风暴可能导致脑部肿胀,而血液过度凝结的趋势可能引发中风。现在的问题是,在工作人员专注于挽救生命的时候,从猜想转变为信心,甚至神经系统评估(如诱发呕吐反射或运送患者进行脑部扫描)都有传播病毒的风险。

上个月,匹兹堡大学医学中心的神经病学家Sherry Chou开始组织一个全球性的研究中心,现在包括50个中心,以从已经接受过护理的患者中提取神经学数据。早期目标很简单:确定住院患者的神经系统并发症患病率,并记录其表现。从长远来看,Chou和她的同事希望收集扫描,实验室测试和其他数据,以更好地了解病毒对包括大脑在内的神经系统的影响。

Chou推测了可能的入侵途径:通过鼻子,然后向上并通过嗅球-解释了嗅觉丧失的报告-与大脑相连。“这是一个很好的理论,我们必须证明这一点”。

Chou说,大多数神经系统症状“都是通过口耳相传的,我认为没有人可以说自己是专家”。

到达肠道

3月初,一名71岁的密歇根州妇女从尼罗河游船返回时发生流血性腹泻,呕吐和腹痛。最初,医生怀疑她是常见的胃病,例如沙门氏菌感染。但是在她咳嗽后,医生用鼻拭子检查了她的新型冠状病毒。根据《美国胃肠病学杂志》(AJG)在线发布的一篇论文,粪便样本中病毒RNA阳性,在内窥镜检查中发现结肠损伤迹象,表明该病毒感染了胃肠道(GI)。

她的病例增加了越来越多的证据表明新的冠状病毒与其表亲SARS一样,可以感染下消化道的内壁。在多达53%的患者粪便样本中发现了病毒RNA。

在《胃肠病学》(Gastroenterology)上发表的一篇论文中,一个中国团队报告了在COVID-19患者的活检中发现该病毒在胃,十二指肠和直肠细胞中的蛋白质外壳。贝勒医学院的病毒学家Mary Estes说:“我认为它确实会在胃肠道中复制。”

AJG联合主编洛杉矶的Cedars-Sinai医学中心的Brennan Spiegel表示,最近的报告表明多达一半的患者(整个研究中平均大约有20%)会腹泻。Spiegel等人说,GI症状不在CDC的COVID-19症状列表中,这可能导致某些COVID-19病例无法被发现。

“如果你主要的症状只是发烧和腹泻,就不会接受COVID检验。”胃肠病学联合编辑,北加州Kaiser Permanente的道格拉斯・科利表示。

胃肠道中病毒的存在增加了人们的恐慌,即它可以通过粪便传播。尚不清楚粪便中是否含有完整的传染性病毒,或者仅含有RNA和蛋白质。爱荷华大学的冠状病毒专家Stanley Perlman表示,迄今为止,“我们没有证据”表明粪便传播很重要。CDC认为,根据SARS和导致中东呼吸综合征的病毒(新冠状病毒的另一个危险表亲)的经验,粪便传播的风险可能较低。

肠道不是疾病攻击身体的终点。例如,尽管尚不清楚该病毒直接侵入眼内,但仍有多达三分之一的住院患者发展为结膜炎,即粉红色、水汪汪的眼睛。其他报告表明肝脏受损。在两个中国中心住院的COVID-19患者中,超过一半的酶水平升高,表明肝脏或胆管受到损伤。但是几位专家告诉《科学》杂志,不太可能是病毒直接入侵。他们认为,引起身体衰竭的其他因素,例如药物或脆弱的免疫系统,更可能导致肝损害。

COVID-19可能对人体造成的破坏图仍然只是草图。要想弄清楚它的范围,以及它可能引发的一系列心血管和免疫作用,将需要多年的艰苦研究。随着科学的发展,我们希望,不论是显微镜下的组织探测还是对患者的药物测试,都会比使世界停滞不前的病毒有更明智的方法。

本文来源:湃客大数据文摘