T1T2信号 MERS、抗NMDA脑炎、Bu
2020-04-25 21:01:30

医脉神经每周五个工作日都有雷打不动的早餐病例学习,每天3个短小精悍的小case,每天掌握3个知识点。每个群的群主轮流提供早餐病例,感谢各位群主及老师们的辛苦付出,也感谢参与讨论的众多群友。大家思想的碰撞,产生了无数的智慧火花,常在群里逛逛,每天都有新的收获。

作者:赵伟,赵莲花

致谢:张乐国、张建利 、邵明涛、缪萍萍、李明阳、杜晓萍、常志强、刘礼泉、鲍磊、梁新明、申永国、黄波涛

病例1

男性,28岁,主因发作性视物不清5天入院。入院后CSF 常规总细胞8*10^6/L,有核细胞5*10^6/L,生化:Pro 0.166 g/L,Glu 3.46 mmol/L,ADA 0.8 U/L。

image001.png

2周后复查核磁如下:

image003.png

答案:伴有胼胝体压部可逆性病灶的临床症状轻微的脑炎/脑病(MERS)。MERS是以MRI检查发现至少累及胼胝体压部的一种短暂的可逆性水扩散受限的病变,同时临床伴有可逆性的如谵妄、意识障碍及抽搐或癫痫等神经系统紊乱症状,病程有自限性,患者预后良好为特点。

病例2

女性76岁,主因头痛近1月入院。

image005.png

答案:脑脓肿。脑脓肿MRI表现:在急性化脓期为长T1长T2或等T1长T2信号,可单发亦可多发;化脓期病灶中央液化、坏死呈长T1长T2信号;脓肿壁形成期: 脓腔呈长T1长T2信号,脓肿壁显著强化,厚度均匀光滑,脓肿周围水肿明显。

病例3

女性,62岁,表现为快速进展性痴呆和肌阵挛,氯硝西泮和丙戊酸钠联合治疗症状有所改善,3岁时麻疹病史。

image007.png

答案:亚急性硬化性全脑炎(subacute sclerosing panencephalitis,SSPE)。补充病史:3岁时麻疹病史。患者中老年女性,快速进展性痴呆,肌阵挛,脑萎缩明显,双侧海马及大脑半球皮层异常信号,麻疹病史,考虑该诊断。SSPE是由麻疹病毒慢性持续性中枢神经系统感染所致的神经系统变性疾病。其发病年龄为6个月至35岁,但以儿童及青少年多见,SSPE患儿的神经系统症状一般出现于麻疹病毒感染后7~11年。其发病机制仍不完全清楚,目前认为宿主本身的免疫和病毒的变异均起重要作用。典型病例根据其特征可分为4期:

I期:行为及精神障碍期,多表现为性格、行为和人格异常。包括嗜睡、情绪异常、学习困难等,本期持续时间约数周至数年。

Ⅱ期:运动障碍期,本期的特征性症状是肌阵挛,还可发生舞蹈样动作、共济失调、癫痫发作。Ⅲ期:去大脑强直期,持续时间约3-18个月。

Ⅳ期:终末期,患儿呈植物状态,常死于感染。脑影像学检查:脑CT检查对SSPE不太敏感,早期大都正常,晚期见中重度脑萎缩。

MRI表现为皮质和皮质下白质局部高信号,双侧不对称,随着疾病的进展,可见深部白质有高信号改变以及进行性广泛性脑萎缩,终末期几乎所有的白质都丢失,还可看到胼胝体变薄。患者的麻疹病史,好多老师以为是一个坑。SSPE在60多岁的人群中发病罕见。双侧海马异常信号,皮层萎缩要和自免脑炎、桥本脑病、副肿瘤综合征、白质营养不良、CJD等鉴别。

病例4

女性,31岁,表现为右侧麻木、复视、间歇性恶心2个月余。查体:左侧外展受限及右侧感觉迟钝。患者先后多次入院经皮质类固醇治疗,4 年后死亡。

image009.png

答案:原发性中枢神经系统淋巴瘤样肉芽肿(淋巴瘤)。本病例好多老师认出来胡椒面征,考虑CLIPPERS(类固醇激素反应性慢性淋巴细胞性炎症伴脑桥血管周围强化症),青年患者,病程进展快,迅速死亡,激素治疗效果应该是一般,但病情持续进展,不支持。不少疾病如髓磷脂少突胶质细胞糖蛋白(MOG)抗体相关疾病、中枢神经系统原发性血管炎(PACNS)、原发性中枢神经系统淋巴瘤病(PCNSL)等均可能会模仿CLIPPERS的临床和影像学特征。特别是激素效果不佳多提示是淋巴瘤。

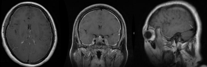
病例5

男性,27岁,表现为一过性意识障碍,伴四肢抽搐,自行缓解,醒后不能回忆发病过程,随后出现发热,并出现言语不清、反应迟钝及右上肢力弱,两天后除发热外其他症状基本完全缓解,高热持续存在10余天。

image011.jpg

答案:抗NMDA脑炎,颅内细环病毒合并头状葡萄球菌感染。抗NMDA脑炎MRI表现千差万别,既可以没有明显异常,也可以表现为海马区、小脑、大脑皮层的岛叶、基底节、脑干、脊髓等在T2或者是FLAIR序列上出现高信号影。脑电图表现为一侧或双侧慢波活动增多,有癫痫发作的患者可见痫性放电,若出现“δ刷”则高度提示抗 NMDA受体脑炎,并提示预后不良。抗NMDA脑炎合并其他颅内感染少见,其关系尚不清楚。

病例6

24岁女性,智能减退4天,双上肢舞蹈样动作,做鬼脸,不能与人交流。

image013.png

答案:一氧化碳中毒迟发性脑病。补充病史:洗澡时中毒昏迷,持续十几个小时后清醒,最早四天没有做高压氧,第五天转入,神志清楚,无法交流,缄默状态,经过一周的高压氧治疗后出现舞蹈样动作及做鬼脸,可以叫出亲人的名字,但是较为烦躁,这是入院五天的核磁。CO 与血红蛋白的亲和力较氧气与血红蛋白的亲和力大 300 倍,CO 一旦进入血液后即生成不易分解的碳氧血红蛋白,从而引起脑组织缺氧。CO 中毒脑病的病理损害基础为脑组织缺氧, 病理损害过程是脑组织水肿→软化→坏死→变性 (脱髓鞘)。急性 CO 中毒性脑病的 MR 表现根据受累部位的不同,影像表现而异。CO 中毒性脑病可累及的部位包括:双侧苍白球、双侧大脑半球白质区、双侧海马、双侧小脑半球、双侧小脑齿状核。双侧苍白球对称性变性坏死是 CO 中毒特征性影像学表现, 但非特异性, 其它中毒性脑病如霉变甘蔗中毒、酒精中毒及氰化物中毒性脑病也可出现类似表现。双侧皮层损害要和MELAS相鉴别。

病例7

34岁男性,体检发现颅内占位。

image015.png

答案:小脑血管母细胞瘤。血管母细胞瘤是最常见的小脑原发肿瘤,多见于青壮年。可为多发,约20%的血管母细胞瘤患者伴有视网膜血管瘤,同时6%的视网膜血管瘤亦伴有小脑的血管母细胞瘤。肿瘤同时发生于颅内及视网膜时称为von-Hippel-Lindau(vHL)病,该病为常染色体显性遗传的家族性肿瘤性疾病,可伴有多脏器(肾脏、胰腺、睾丸等)的肿瘤和囊肿。根据肿瘤的形态特点,可分为单纯囊型、囊结节型和实质型,以囊结节型最多见。

MRI表现:T1等信号结节,可见流空效应;T2和FLAIR高信号的囊变和结节,可能有高信号的瘤周水肿;强化MRI:结节明显强化;囊性部分无强化,囊壁常无强化效应;DWI相:囊性成分在DWI为高信号,ADC为低信号。

病例8

年轻女性,表现为慢性共济失调及胃肠道症状。

image017.png

答案:小脑发育不良性节细胞瘤。又称为Lhermitte-Duclos病(Lhermitte-Duclos disease,LDD)。临床罕见,30~40岁多见,主要临床表现为头痛、步态不稳、共济失调以及后组脑神经受累的表现。此外本病还可以伴发巨颅、巨脑、脊髓积水、多指(趾)畸形、神经纤维瘤病、多发血管瘤、多发错构瘤综合征等先天发育畸形。 LDD在MRI T1WI上表现为等低信号相间构成的条纹状排列结构,T2表现为在高信号区域内有低信号的条纹状排列结构,这种条纹状排列结构称之为虎纹征,增强扫描无明显强化。“虎纹征”(striated pattern)是LDD在MRI上的特征性表现,它对于LDD具有诊断和鉴别诊断的价值。手术切除病变是惟一有效的治疗方法。如果能全切除肿瘤,则患者预后较好。由于肿瘤与周围正常脑组织边界不清,肿瘤常不能完全切除,是肿瘤复发的原因之一。

病例9

女性,头痛1年余,猖獗性龋齿。

image019.png

答案:肥厚性硬脑膜炎、干燥综合征。肥厚性硬膜炎是一种以脑和/或脊髓硬膜局限性或弥漫性纤维性增厚为特征的中枢神经系统罕见疾病。按发病部位可分为肥厚性硬脑膜炎(HCP)和肥厚性硬脊膜炎(HSP)。按病因HP可分为特发性和继发性两种形式,继发性HP病因多样,包括感染、自身免疫病、肿瘤等.特发性HP的诊断需排除潜在的病因。尽管特发性肥厚性硬膜炎(IHP)的发病机制仍不明确,但多数学者认为它是一种自身免疫病。许多初诊IHP患者的血清和脑脊液中分别发现抗中性粒细胞胞质抗体(ANCA)阳性和IgG 4水平升高,偶见两者同时存在。ANCA相关性和IgG 4相关性Hp已经成为HP的两大主要病因类型。

病例10

女性34岁,因发热、头痛伴呕吐1周,左侧肢体无力1天入院。既往有甲亢病史。住院期间患者出现左侧肢体抽搐。入院时MRI:

image021.png

入院一周MRI:

image023.png

出院后复查MRI:

image025.png

答案:低颅压综合征并皮层静脉血栓形成。箭头提示栓塞的皮层静脉,抗凝后出院复查,病灶消失。患者年轻女性,发热、头痛,影像表现为硬膜下积液、脑下垂、硬脑膜-蛛网膜广泛强化、上矢状窦血栓,诊断明确。

病例11

女性,26岁,头晕、右耳听力下降1月,入院后查血常规:血红蛋白114 g/L、血小板71*109/L,住院期间出现复视症状,复视症状逐渐加重,后期出现癫痫发作。

image027.png

答案:Burkitt淋巴瘤。患者影像的典型表现是脑膜受累,老师考虑肥厚性脑膜炎或者是脑膜癌等疾病。Burkitt淋巴瘤是继发性中枢神经系统淋巴瘤,大多发生在Burkitt淋巴瘤或弥漫性大B细胞淋巴瘤(DLBCL)。MRI上多数患者的颅内病灶有弥漫性或局限性增强、常累及脑膜、颅神经、脑室旁区域。

<1> Reyes AJ, Ramcharan K, Perot S, et al. Subacute sclerosing panencephalitis causing rapidly progressive dementia and myoclonic jerks in a sexagenarian woman. Tremor Other Hyperkinet Mov (N Y). 2019.

<2> 公众号“萌妹子课堂”:亚急性硬化性全脑炎(SSPE)

(本网站所有内容,凡注明来源为“医脉通”,版权均归医脉通所有,未经授权,任何媒体、网站或个人不得转载,否则将追究法律责任,授权转载时须注明“来源:医脉通”。本网注明来源为其他媒体的内容为转载,转载仅作观点分享,版权归原作者所有,如有侵犯版权,请及时联系我们。)