感冒三四天,5岁娃进了ICU并且脑坏死!警惕这4大夺命并发症
2020-01-06 21:53:59

2020年1月6日报道,感冒,本来不是什么非常严重的疾病。但最近,一个5岁的小孩在一次“感冒”后,却进了ICU!这是怎么回事?

Day 1

前不久,5岁的小莉(化名)从幼儿园回来后老说冷,妈妈量了体温后一看,39℃!孩子发烧了!妈妈喂过药后,半小时烧就退下来了,可到了晚上还是反复烧了两次

Day 2

第二天,小莉还是没退烧,妈妈不放心,带她来到附近医院看医生。就在看病时,孩子突然抽搐起来。经过医生的急救处理,几分钟后小莉的抽搐缓解了,当天小莉就被收进了住院部。

住院后小莉反复发烧,最高时烧到了40℃以上,而且她的意识越来越差,最后进入昏迷状态,妈妈怎么叫她都没有反应了。

Day 3

发烧第三天,小莉转院到了深圳市儿童医院,住进了重症监护病房(PICU)。这时她仍然昏迷不醒,很快还出现了呼吸急促的情况,医生只得上呼吸机帮助她呼吸。

Day 4

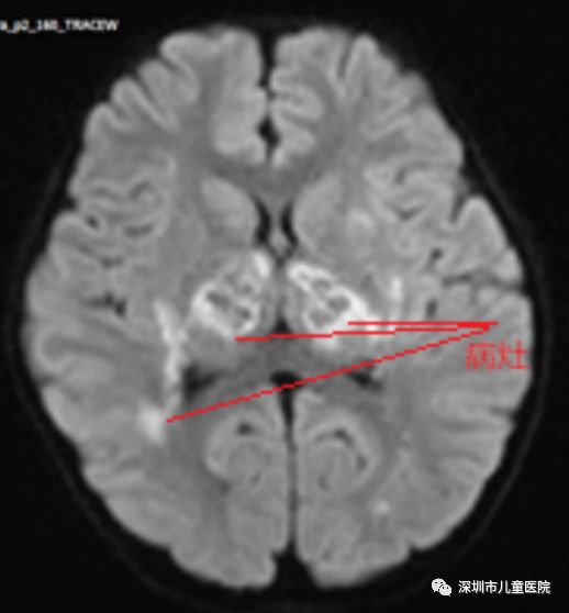
发烧第四天,核磁共振检查传来坏消息:她的脑部多发病灶,典型的急性坏死性脑病!PICU医生团队仔细分析后认为,这很可能是流感引起的脑病。进一步的检验后,“祸首”被揪了出来——甲型流感

Day 6

经过多个科室会诊

医生团队为小莉制定了详细的救治方案

时间一天天过去

小莉的病情也逐渐好转

住院第6天,呼吸机撤了

第8天

她从重症监护病房转到了普通病房

看到这里你也许会认为

后面的结局是

孩子可以病愈出院了

但现实却是——

由于病发期间出现了较严重的

神经系统并发症

虽然小莉现在已经能自主睁眼

意识并没有完全恢复

不仅说不了话

就连爸爸妈妈也认不出来了

目前小莉还在做进一步的康复治疗,医生表示,治疗时间可能是几个月,也有可能长达数年,甚至更长时间。以此前的病例来看,有些孩子会康复,但也有一些孩子可能会终生受到影响。

通过检查发现这孩子的头颅CT是一个明显的多发病灶,我们考虑孩子是一个甲流病毒引起的急性坏死性脑病。急性坏死性脑病是儿童在甲流里经常会碰到的并发症,孩子很快会出现意识障碍,严重的甚至会出现脑损伤。

看起来普普通通的“感冒”

怎么会这么可怕?!

错了!

流感≠普通感冒

它不仅会伤人,还可能致命!

现在是流感高发期

孩子又是流感易感人群

怎么做才能保护孩子?

首先

要区分流感和普通感冒

怎么区分流感和普通感冒?

流感和普通感冒有相似之处,都可能有上呼吸道症状,比如鼻塞、流鼻涕、打喷嚏、咳嗽、喉咙痛,都有传染性。相比普通感冒,流感全身症状比较重,主要症状是高烧、头痛、咽痛、肌肉酸痛。

最要命的区别在于,普通感冒极少发生并发症,而流感容易出现肺炎、心肌炎、脑炎等并发症。对于儿童来讲,尤其是要警惕急性坏死性脑病。一旦出现这种严重并发症,死亡率较高。

在每年冬季,流感都会流行,而且大部分人都得过。它在本质上不算什么大病,只要注意多休息、多饮水,无论服用或未服用奥司他韦,经过7天至10天,绝大多数患者都会痊愈。流感的病死率很低,一般为0.5‰至1‰。即使是在2009年新的甲型H1N1流感病毒大流行初期,病死率也只有1%至1.2%。

那么,是什么导致了流感患者的死亡呢?其主要原因是流感并发症。

流感并发症分为“肺内并发症”“肺外并发症”和流感期间的基础病并发症。

根据“广东公共DV现场”的报道,成都市第二人民医院急诊科主任李和莅医生介绍:“感冒合并多脏器功能衰竭,致死率可以高达80%以上。”尤其要注意这4个并发症:

01

重症肺炎

感冒后,人体呼吸道粘膜抵抗力下降,可继发细菌、真菌、病毒感染,严重会导致重症肺炎。

高危症状:

感冒后,出现全身肌肉酸痛,高烧反复发作,呼吸频率加快、呼吸困难,且症状越来越严重。

02

心力衰竭、心肌炎

感冒后抵抗力低下,病毒短时间内侵袭心脏,让心肌功能受到影响,导致心肌坏死,出现心功能不全死亡。

高危症状:

感冒发烧,并伴随出现胸闷气紧,没法平躺。

03

病毒性脑炎

同理,当病毒侵犯到中枢神经或者大脑,可导致病毒性脑炎。

高危症状:

高烧反复不退,并且出现意识障碍,头痛、呕吐。

04

肾功能衰竭

当病毒侵犯到肾脏,可能导致肾功能衰竭。

高危症状:

感冒后出现高烧反复不退,水肿,少尿。

李和莅医生介绍,1/3的严重并发症是普通感冒引起的,2/3由流感引起,所以感冒并无大小之分!

广州市疾病预防控制中心传染病防制部部长罗雷主任医师说,根据2019年流行性感冒诊疗方案,五大类群体是流感高危人群:

1. 5岁以下儿童,尤其是两岁以下;

2. 65岁以上老年人;

3. 免疫力差、伴有各类基础性疾病人群。尤其是有慢性呼吸系统、心血管疾病、血液系统疾病等基础性疾病或者是免疫力缺陷的人群,抵抗力低下,对流感病毒更加易感。

4. 肥胖群体,BMI达到30以上的人群;

5. 妊娠期和围产期妇女。

流感在何时何地到来虽然不能准确预计,但流感是可以预防的。

平时,我们要注意锻炼身体,增强对疾病的抵抗力;在流感流行季节注意根据天气变化来增减衣服,少去人员密集的公共场所,避免到流感患者家中串门;多饮水,保持呼吸道及咽部湿润;外出尽量戴口罩,回家先洗手,房间经常通风换气。这些都是预防流感的有效措施。

但是

每年接种一次流感疫苗

是医学界公认的有效办法

通常,接种流感疫苗后,需要大约2~4周才能产生具有保护水平的抗体。所以,建议大家每年10月底之前去打疫苗,这样到流行高峰时恰好产生保护性抗体。如果来不及在10月份接种,整个流行季也可以接种

需要提醒的是,任何疫苗的保护效果都不是100%。个别受种者由于个体的特殊原因,比如免疫应答能力低下,可能导致免疫失败。此外,如果接种时,已经处在流感潜伏期,接种后还是会发病。

流感疫苗+肺炎疫苗是“双保险”

流感疫苗接种后,对健康成人的保护率可达70%至90%,对6月龄到3岁儿童的保护率为73.2%,对3岁至5岁儿童的保护率为52.9%。为什么流感疫苗对3岁至5岁儿童的保护效果要低一些呢?主要原因是他们的免疫力没有成人高,又比3岁以下儿童接触外界的机会和频率高,所以感染疾病的风险也相对较高。

另外,老年人除了流感疫苗之外,还可以接种肺炎疫苗。

一些老年人接种流感疫苗相关文献的荟萃分析显示,老年人接种流感疫苗后可减少25%至53%的肺炎及流感相关住院;与单独接种流感疫苗的老年人相比,接种了流感疫苗和肺炎疫苗的老年人肺炎相关住院率和病死率均减少了11%。

总之,得了流感应及早治疗,流感早期可服用奥司他韦等抗流感病毒药物,以减少流感相关并发症的发生。

最近,重庆南岸区一名3个月大的幼儿出现持续轻微咳嗽、流鼻涕的症状,被当成感冒治疗却未见好转,后被送医确诊为毛细支气管炎。专家提醒,毛细支气管炎的早期症状与普通感冒相似,易被误诊,需引起重视。

“毛细支气管炎是小儿冬季常见的急性下呼吸道感染性疾病,多发于两岁以下的婴幼儿,多由呼吸道合胞病毒、鼻病毒等感染引起。病变部位主要在肺部毛细支气管,由于炎症使其变得更加细小,加上分泌物增加、排痰不畅,会导致出现呼吸不畅、喘憋等临床症状。”重庆医科大学附属儿童医院呼吸一病房副主任医师闫莉说。

专家介绍,毛细支气管炎的初期症状与普通感冒相似,主要表现为鼻塞流涕、轻咳。几天后咳嗽可能加重,出现气急、咳痰、喘息。有许多家长将毛细支气管炎当作普通感冒来治疗,会延误病情。

闫莉说,患上毛细支气管炎的孩子应及时到医院就诊,由专科医生判断后确定治疗方法。由于毛细支气管炎多是由病毒感染引起,因此发病早期一般不需用抗生素治疗。如发病后期怀疑继发细菌感染,可用抗生素治疗,并以对症治疗为主。