白岩松向崔天凯提问说,不论美方有些人发出一种什么样的声音,这一段时间以来,中国在美国防疫方面提供的这种帮助,在做什么?还会继续吧?
崔天凯:美国每天各种各样的新闻很多,包括假新闻也不少。但是现在客观地说,在中国以外的地方,发现了更早的新冠肺病毒感染的病例。这背后究竟是什么原因,需要科学家去探索和研究。
△CNN相关报道
研究人员此次发现一名42岁男子的样本新冠病毒检测呈阳性。该男子职业为鱼贩,出生在阿尔及利亚,已长居法国多年,最近一次旅行是在2019年8月前往阿尔及利亚。 
白岩松:今天国内有报道说,美国的一位市长自称自己在去年11月份以为得了流感,但这次查抗体发现了新冠肺炎的抗体。在美国是否有这样的新闻?美国人怎样看待这样的新闻?
△路透社相关报道
患者男性最近一次旅行是
2019年8月前往阿尔及利亚
论文中显示,研究人员选取了14个在2019年12月2日到2020年1月16日期间因类流感疾病(ILI)入住重症监护室的病例,并将其鼻(咽)拭子从零下80摄氏度的冷藏环境中取出,于今年4月6日到4月9日重新进行新冠病毒核酸检测。值得注意的是,这些病例在入院时接受FilmArray快速呼吸道病原体检测结果呈阴性。△BBC相关报道
路透社报道,题为《经过样本检测后 法国医院研究人员发现法国新冠肺炎首例病例出现在12月》。 


我觉得,这些病例和病毒问题有几个概念需要澄清,最早报告病例的地方不一定是病毒产生的地方。很多科学家也都这么认为。而且很多人之前以为武汉最早发现病例,现在情况也有了变化,在美国和欧洲都发现了更早的病例。

5月5日晚,央视《新闻1+1》节目中, 白岩松特邀中国驻美国大使崔天凯解读疫情下的中美关系。
崔天凯继续说,“据我了解,到现在为止,美国从中国采购,还有中国各个省市、社会团体给美方捐助的各种医疗物资已经达到了一个非常巨大的数量。比方说口罩,现在已经超过47亿只口罩从中国来到美国,包括美国采购的,也包括我们捐赠的。也就是说,按人口平均的话,差不多每个美国人可以分到15、16个中国来的口罩。”

从中国运到美国”
CNN报道称这也证明,新型冠状病毒在法国出现的时间可能比人们先前认为的要早几周。
位置高,智商、情商未必与之成正比
驻美国大使崔天凯表示,经贸关系是中美关系的压舱石,这个说法其实是从大概90年代的时候开始的。现在还是一个事实,但我认为不应该把经济视为唯一的压舱石。

△CNN的相关报道

中国驻美大使斥美造谣抹黑者:
另外,两国之间的相互信任,这是很缺失的东西,这个如果没有的话,其他压舱石很难压得住。两国人民之间的相互了解,也是一个根本问题。


国外网友:
关注科学研究对疫情认识的改变
消息一出,引发网友热议,有网友称,新冠病毒在12月就已经开始在欧洲传播了!医学期刊《国际抗菌剂杂志》网站5月3日刊登法国巴黎东北郊塞纳-圣但尼医院集团主持撰写的短篇通讯论文,证实新冠病毒2019年12月底已在法国传播。法国商业调频电视台(BFMTV)、英国广播公司(BBC)、美国有线电视新闻网(CNN)、路透社(Reuters)等各大外媒纷纷转载报道,引发舆论关注。
△BBC相关报道
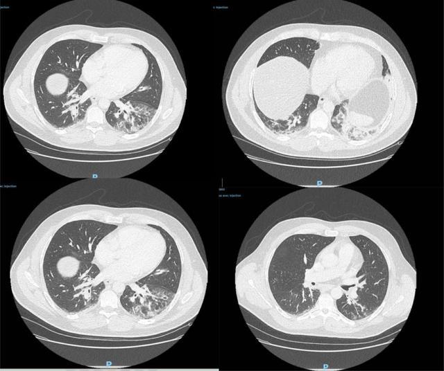
据了解,患者去年12月27日到急诊室就医,CT检查显示双侧肺下叶呈现磨玻璃影,并伴有咯血、咳嗽、头痛及发热症状,且当时症状已持续4天。病患当天被收入重症监护室并接受抗生素治疗,后因病情好转于12月29日解除重症监护。说明什么?
△网友:这无疑击碎了新冠病毒是由中国实验室泄漏的说法,因为病毒是绝不可能在11月底从武汉一下子蹦到巴黎的
△CNN相关报道“该男子长期居住法国,最近一次旅行是2019年8月前往阿尔及利亚”
据BBC报道,为了确保没有错误,医生测试了两次,两次都是阳性。 

△图为病患CT检测影像
新冠病毒已于去年12月底在法国蔓延
比官方报告早了一个月
据此证明,新冠病毒已于2019年12月底在法国传播,比该国官方所称于1月24日首次发现病例,提早了一个月。
白岩松提到,很长时间里,大家都会普遍认为经济是中美关系当中重要的压舱石,现在有人担心随着疫情的这种影响,这个“压舱石”是否牢靠,是否已经开始松动?
△证据证明新冠病毒在12月就已经在欧洲开始传播了。
有的网友说,新的研究支撑了“新冠病毒可能起源于任何一个国家”的观点,可能在11月就已经悄悄地在全球蔓延。中美关系这么复杂,不可能只有经济这一块压舱石。我们需要的应该更多,让中美关系的稳定锚更多一点,这是现在要做的工作,也是现实的需要。比方说,防控疫情、公共卫生安全的合作,今后也可以成为压舱石,这是涉及到人命关天的事情。这方面可以做的事情还有很多,余地还很大。


大批外媒转载:新冠病毒去年12月底已在法国传播
当地时间5月3日晚法国商业调频电视台的直播节目报道,法国在2019年12月27日发现首例新冠肺炎病例。△网友:可能在11月就已经悄悄地在全球蔓延。
也有网友表示,如果这份12月2日在巴黎的病例被证实了,这无疑击碎了新冠病毒是由中国实验室泄漏的说法。因为病毒是绝不可能在11月底从武汉一下子蹦到巴黎的。 
这究竟说明什么,需要科学家解决。关于病毒来源,现在有很多说法,但是科学界普遍看法是:病毒是自然界产生的,而不是从实验室出来的。我希望大家相信科学,相信事实。
△CNN报道称,冠状病毒在法国出现的时间可能比人们先前认为的要早几周。
BBC报道,标题为《新冠病毒:法国去年12月底发现首个病例》。崔天凯:最早报告病例的地方不一定就是病毒来源的地方。现在美国、欧洲都有早于武汉的病例陆续发现,背后的原因要由科学家去探索。有些人所处的位置很高,但他的智商情商不一定与之成正比。总有人不愿意相信事实和科学,疑神疑鬼。
“已有超47亿只口罩
美国一市长去年11月感染新冠,
崔天凯表示,“我们一直主张两国之间要加强抗疫合作,这个在习主席和特朗普总统两次通话当中都已经充分表达了我们这个愿望。具体地来说,你看我们大使馆,这两三个月吧,花了很多时间就在协调两国之间的一些具体的问题的解决。比方说美国,它联邦政府、地方政府,它的一些企业,它的一些团体要从中国进口一些医疗抗疫物资,怎么可以做得更快,怎么能够保证好这个质量,我们花了很多时间在做这个事情,跟美方也有很多协调。”
△CNN报道称,显示新冠病毒已于2019年12月底在法国传播
论文作者之一、巴黎大区让-维尔迪耶医院重症监护室负责人称,病毒核酸检测不是一种新的手段,不仅仅是用来检测新冠病毒,也用来检测流感和其他冠状病毒。所以我们对此前被诊断为肺炎,但检测结果呈阴性的病例样本重新检验,在24名病患中,发现有一人的新冠病毒检测呈阳性,是在去年12月27日被我们医院接收的。 
同时报告显示,确定第一个感染者是一个非常有流行病学意义的问题,因为它极大地改变了对新型冠状病毒及其在法国传播的认识。因为这表明新冠肺炎在2019年12月底已经在法国人口中蔓延。
压舱石松动了吗?

经贸这个中美关系间的
