原标题:中国团队重大发现:除了蝙蝠 新冠病毒还有一个毒王参与 来源:雷锋网
新冠病毒的“罪魁祸首”到底是谁?蝙蝠?穿山甲?从新冠疫情爆发之初,到如今全球累计确诊病例数逾 383 万,这个问题仍然没有确切的答案。近日,我国研究人员给出了最新的答案:新冠病毒可能是由穿山甲冠状病毒与蝙蝠冠状病毒重组产生!
当地时间 2020 年 5 月 7 日,来自华南农业大学兽医学院、岭南现代农业科学与技术广东省实验室(包括其肇庆分中心)、广州动物园、中国农业大学生物学院农业生物技术国家重点实验室及广东省野生动物救护中心的研究团队于国际著名期刊《自然》在线发表了题为 Isolation of SARS-CoV-2-related coronavirus from Malayan pangolins(马来亚穿山甲中新冠病毒相关冠状病毒的分离)的论文。

到底是谁的锅?
新冠病毒的中间宿主可能是蝙蝠
疫情期间,我们最不该觉得陌生的一串英文无疑是新冠病毒的国际通用名称 SARS-CoV-2。
雷锋网此前报道过,国际范围内病毒的命名均由国际病毒分类委员会负责,此次肆虐全球的新冠病毒之所以被国际病毒分类委员会命名为 SARS-CoV-2,原因就在于新冠病毒 SARS-CoV-2 与多年前的“非典”病毒 SARS-CoV 之间的关系——二者存在明显区别, SARS-CoV-2 有其新颖性,但同时二者属于同一类型,具有亲缘性。
早在新冠疫情爆发之前,相关研究人员就发现,当年的“非典”病毒 SARS-CoV 毒株源自蝙蝠。
那么顺着这条思路,作为“非典”病毒的亲戚,新冠病毒的罪魁祸首会不会也是蝙蝠呢?
早在当地时间 2020 年 1 月 23 日,中科院武汉病毒所石正丽团队就在预印本网站 bioRxiv 上发表论文指出,新冠病毒的中间宿主可能是蝙蝠。
具体来讲,该团队从 5 名患者体内获得了 SARS-CoV-2 病毒的全基因组,发现这 5 例基因组基本上一致。SARS-CoV-2 在整个基因组中与在云南中华菊头蝠身上检测到的冠状病毒 Bat-CoV-RaTG13 有 96.2% 的一致性,与 SARS-CoV 有 79.5% 的一致性。

经过同行评议后,该论文随后于当地时间 2020 年 2 月 3 日正式发表于《自然》期刊。
新冠病毒的中间宿主可能是穿山甲
然而,科学的魅力就在于不断探索、提出新发现,推翻或是印证前人的观点。
2020 年 2 月 7 日,华南农业大学针对新型冠状病毒肺炎疫情研究攻关情况举行了新闻发布会。会上,华南农业大学、岭南现代农业科学与技术广东省实验室沈永义、肖立华等科研人员表示,穿山甲可能为新冠病毒的潜在中间宿主。

据了解,该团队这一结论的得来过程,主要分四步:
首先,通过分析 1000 余份宏基因组样品,确定穿山甲为潜在中间宿主;
其次,通过分子生物学检测,揭示穿山甲中 β 冠状病毒的阳性率为 70% ;
随后,进一步对病毒进行分离鉴定,在电镜下观察到典型的冠状病毒颗粒结构;
最终,通过对病毒的基因组分析,发现分离的病毒株与目前感染人的毒株序列相似度高达 99% 。
在这之后,由顶尖病毒学家管轶领衔的研究团队,再次证明穿山甲是新冠病毒的中间宿主——2020 年 2 月 18 日,香港大学管轶团队与广西医科大学胡艳玲团队在预印本网站 bioRxiv 上发表了题为 Identification of 2019-nCoV related coronaviruses in Malayan pangolins in southern China(中国南方马来亚穿山甲中 2019-nCov 相关冠状病毒的鉴定)的论文。
根据雷锋网(公众号:雷锋网)当时的报道,研究人员共对三批穿山甲样本进行了分析与研究——2017 年 8 月-2018 年 1 月广西海关在反走私行动中查获的 18 个冷冻穿山甲的(肺、肠、血液)等 43 个组织样品;2018 年 5-7 月的 12 只穿山甲的 19 个样本(9 个肠组织、10 个肺组织);广州海关技术中心在 2019 年 3 月反走私行动中查获的 5 个归档穿山甲样品(2 个皮肤拭子、1 个不明组织、1 块鳞片)。
结果表明:
在穿山甲样本中发现的冠状病毒 Pangolin-CoV 基因组与 SARS-CoV-2 基因组的相似率为 85.5%-92.4%;
SARS-CoV-2 与 Pangolin-CoV 受体结合域的氨基酸序列相似性高达 97.4%,而与 Bat-CoV-RaTG13 受体结合域的氨基酸相似度仅 89.2%;
Pangolin-CoV 和 SARS-CoV-2 在病毒受体区域的 5 个关键残基上共享氨基酸,而 Bat-CoV-RaTG13 只与 SARS-CoV-2 共享一个氨基酸。
因此,相较于蝙蝠,穿山甲更有可能是新冠病毒的中间宿主。
同样在经过同行评议后,这一论文最终于当地时间 2020 年 3 月 26 日正式发表于《自然》期刊。

新冠病毒或由两种冠状病毒重组产生
雷锋网了解到,2003 年管轶团队率先分离出 SARS 病毒,证实了果子狸为其中间宿主,也是人类感染 SARS 的直接来源,之后与钟南山院士一起上报,对于当时疫情的遏制起到了关键性作用。
不过,虽然管轶教授在病毒学领域颇有建树,但寻找新冠病毒源头的过程并未就此画上句号。
近日,由华南农业大学领衔的团队在论文中再次给出了新答案。
具体来讲,研究人员从 25 个马来亚穿山甲样本中的 17 个里分离得到一种冠状病毒,即前文所述的 Pangolin-CoV,发现:
Pangolin-CoV 的 E、M、N 和 S 基因与 SARS-CoV-2 的同源性分别为 100%、98.6%、97.8% 和 90.7%;
Pangolin-CoV S 蛋白内的受体结合结构域实际上与 SARS-CoV-2 的受体结合结构域相同,仅具有一个非关键氨基酸差异。
上图为 Pangolin-CoV 的基因组表征。
基于上述发现,研究人员表示,SARS-CoV-2 可能源自Pangolin-CoV 与 Bat-CoV-RaTG13 的重组。
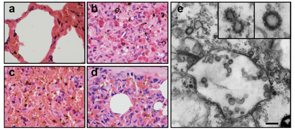
此外,研究人员也展示了经由 Pangolin-CoV 诱发的穿山甲肺部可能出现的病理变化。
如下图所示,a 部分为阴性(健康状态),b、c、d 均为感染了 Pangolin-CoV 的状态,展示了肺泡上皮细胞和含铁血黄素色素的增殖和脱屑现象,其中 c 有严重的毛细血管充血。另外,e 为肺组织双膜囊泡的透射电子显微镜图像,右上角清晰可见冠状病毒。

实际上,论文也明确提到:
穿山甲是被贩卖次数最多的哺乳动物,如果野生动物贸易得不到有效控制,未来其身上的冠状病毒可能还将会对公众健康构成威胁。
虽然这一结论仍有可能不是最终的答案,但也为找寻新冠病毒的源头提供了新的思路。期待“真理”早日浮出水面,这场疫情也尽快结束。
